Visão Geral
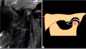
Este estudo avalia a associação entre deslocamento do disco articular da articulação temporomandibular (ATM) e osteoartrose, utilizando imagens de ressonância magnética para identificar alterações degenerativas. Os resultados apontam maior probabilidade de osteoartrose, especialmente em casos de deslocamento anterior do disco sem redução (ADDwoR).

Autores
I. M. Dias, P. C. de F. Cordeiro, K. L. Devito, M. L. F. Tavares, I. C. G. Leite, R. de S. Tesch
Objetivo
Avaliar o odds ratio (OR) de articulações com deslocamento do disco apresentando osteoartrose, por meio da análise por ressonância magnética.
Achados Principais
As articulações com ADDwR apresentaram 2,73 vezes mais chances de ter osteoartrose, enquanto as com ADDwoR apresentaram 8,25 vezes mais chances. A ocorrência de osteófitos foi 9 vezes mais provável nos casos de ADDwoR, em comparação com OR 2,96 para ADDwR.
Conclusão
A significativa razão de chances de articulações com deslocamento do disco apresentando osteoartrose, especialmente nos casos de ADDwoR, destaca a importância de uma avaliação precisa das alterações na posição do disco, que podem estar associadas a outras disfunções dolorosas e funcionais da ATM.

